<style>
.bs--5 .bs__content--4 img {
  height: 50rem;
  object-fit: cover;
  width: 100%;
}
  
.item:first-child a {
	background-color: #fae0e0;
  padding: 0.5rem 1rem;
}
  
.item:last-child {
	color: #db2323;  
}
  
@media screen and (max-width: 991px) {
	.bs--5 .bs__content--4 img {
    height: 40rem;
  }
}
  
@media screen and (max-width: 767px) {
	.bs--5 .bs__content--4 img {
    height: 30rem;
  }
}
  
@media screen and (max-width: 479px) {
	.post-meta {
    display: flex;
    flex-wrap: wrap;
  }
}
</style>
Compartir
contenido
Grupo Policlínica. Acortar tiempos de reacción para sobrevivir a un infarto
Lucía Vera, Marcos Ñato y Sebastián Gaido, los tres especialistas en cardiología intervencionista de la Policlínica.

Grupo Policlínica. Acortar tiempos de reacción para sobrevivir a un infarto

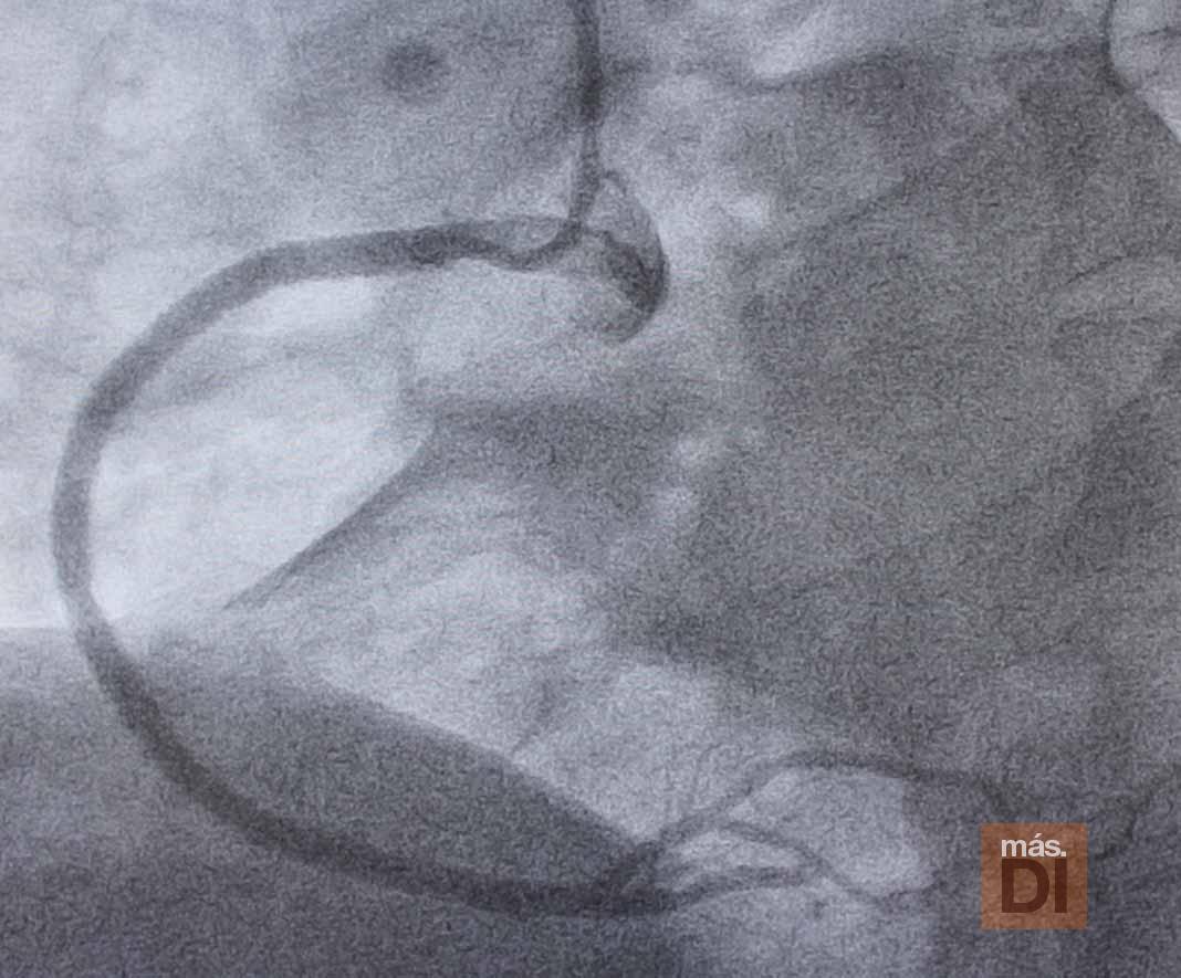
El infarto agudo de miocardio aparece por un riego sanguíneo insuficiente debido a la obstrucción de una arteria. La principal causa es la aterosclerosis coronaria (un depósito de colesterol en la pared vascular) que suele desarrollarse durante años y que puede, súbitamente, romperse y activar la coagulación de la sangre con formación de trombos o coágulos, que ocluyen la luz arterial produciendo el infarto de miocardio.

¿Cuáles son los síntomas de un infarto? Normalmente, los pacientes suelen presentar cuadros recortados de dolor torácico de menor intensidad/duración durante el esfuerzo las semanas previas al infarto. El dolor anginoso del infarto suele describirse como una opresión en la región del esternón muy intensa, de más de 20 minutos de duración, de carácter sordo, como sensación de peso, que puede irradiarse a cuello, mandíbula o brazo izquierdo y acompañarse de sudoración fría, nauseas y/o vómitos.

Menos frecuentemente se presenta como cuadro de dolor en la parte alta del estómago, de tipo opresivo, con sudoración, nauseas y/o vómitos. Finalmente, en mujeres y diabéticos las características del dolor pueden ser totalmente atípicas en cuanto a intensidad y duración.

Ante estos síntomas, ¿cuál es el proceso? Desde que se instauró en Ibiza el Código Infarto los distintos equipos sanitarios de Ib-Salut (ambulancias y Hospital Can Misses) y de Policlínica Nuestra Señora del Rosario, están perfectamente coordinados para que, en cuestión de minutos, el paciente esté dentro de la sala de hemodinámica listo para ser intervenido.

El Código Infarto consiste en una serie de actuaciones coordinadas por los servicios médicos del 061 con el objetivo de que, en los casos indicados, la arteria coronaria obstruida responsable del infarto de miocardio pueda ser abierta en el menor tiempo posible. Con ello, no solo se salvan vidas, sino que se mejora la calidad de vida de los pacientes tras el infarto de miocardio.

Desde que se produce la primera llamada a Policlínica Nuestra Señora del Rosario, la sala está preparada para recibir al paciente en un plazo aproximado de 15 minutos, el mismo tiempo en el que el cardiólogo, sea la hora que sea, los 365 días del año, está también en el centro hospitalario.

Una vez llega la ambulancia a la Policlínica, el paciente es trasladado directamente a la sala de hemodinámica, donde se le realiza el cateterismo cardíaco que finalmente logrará la apertura del vaso responsable del infarto en un plazo de 20-30 minutos y, según el caso, se implantará un stent coronario (un pequeño tubo de malla de metal) que mantendrá la arteria abierta.

Los estándares europeos establecen como meta lograr la apertura del vaso tras el primer contacto médico, en un plazo de menos de 60-90 minutos, según requiera o no traslado de ambulancia, estándares que el Código Infarto implantado en Ibiza cumple. Esto pone en relieve la calidad asistencial que se presta en la isla, igualando a las grandes ciudades de España y Europa.

Aún así, el equipo de cardiólogos, con el resto de personal sanitario que interviene en el Código Infarto, está estudiando la manera de acortar aún más los plazos a través de un registro, con la finalidad de encontrar el eslabón débil de la cadena.

Policlínica ha ampliado su equipo de cardiología intervencionista. Los tres cardiólogos especializados en cardiología intervencionista son los doctores Lucía Vera, Sebastián Gaido y Marcos Ñato.